
每年的9月29日是「世界心臟日」,原來心臟病在香港最常見致命疾病中居第三位(頭兩名分別是癌症及肺炎),當中以冠心病(冠狀動脈心臟病)、心律不正、心瓣膜病、心臟衰竭為香港常見的心臟疾病。此文為大家詳細講解心臟檢查如心電圖、心臟超聲波的檢查過程及重要的注意事項。
6個常見心臟檢查推介
1. 心電圖檢查(Electrocardiogram, ECG)

心電圖紀錄心臟肌肉收縮時,所產生的微量電流訊號,從而瞭解心臟機能是否出現異常。心電圖一般會再分為靜臥心電圖及運動心電圖兩種,是最常用的基本心臟檢查之一。
1a. 靜臥心電圖(Resting ECG)

做靜臥心電圖檢查時,受檢者會仰躺,檢查人員會把電極放在前胸和手、腳部位,連接電極與心電圖機,經儀器分析得出初步報告。雖然靜臥心電圖檢查沒有副作用,不過如果冠心病患者在檢查期間沒有出現心絞痛,所得出的檢查結果仍然會完全正常,因此靜臥心電圖只可作為基本的心臟病檢查步驟,檢查心跳不正常、心臟缺血或心肌壞死等症狀。
進行檢查時要注意的事項
- 盡量保持情緒平穩及固定姿勢,以免影響檢查
- 在檢查前1小時以內,請勿喝刺激性飲料、食物及抽煙
- 禁止在心電圖檢查前做運動
1b. 運動心電圖(Treadmill Exercise ECG)

運動心電圖算是一種壓力測試,透過規定的方式進行運動,令心臟負擔及血氧需求遂步增加至身體極限,經儀器記錄在進行運動時的心電圖,尤其是在到達目標心跳時,心臟在負荷加重的情況下是否仍正常運作。
心血管病患者經常因為在運動時心肌對氧的需求增多,而出現心肌缺氧的現象,透過運動心電圖,醫生就可判斷到,受檢者的心臟肌肉在活動增加時,有否缺血或心律不正情況,因此較能準確地測試到心血管功能,提升診斷冠心病的準確度。
進行運動心電圖時會增加心臟的負擔,心肌耗氧量會增加,因此對已有明顯的心絞痛、嚴重的心律不正、心臟衰竭、血壓過高等病人,都不適宜接受這項檢查。另外要特別注意的是在測試過程中,一旦心電圖出現異常狀況,就必須立刻停止測試,故此進行運動心電圖時必須有醫生在場監督。
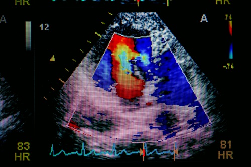
2. 心臟超聲波(Echocardiography)

心臟超聲波檢查利用高頻率聲波作多方位及多角度心臟掃描,獲得即時影像,用以評估心臟結構及功能是否正常,例如心瓣膜是否正常運作、心臟收縮、跳動及泵血等情況都一目了然。檢查簡單、非創傷性,也沒有輻射,因此,心臟超聲波是最常用的非入侵性心臟影像檢查。
3. 心臟電腦掃描(Cardiac Computed Tomography,Cardiac CT)

心臟電腦掃描是更先進的影像診斷檢查項目,而在心臟電腦掃描底下,可以再分為冠狀動脈鈣化定量(Calcium-score screening)及冠狀動脈造影(Coronary CT angiography, CTA)兩種。
3a. 冠狀動脈鈣化定量(Calcium-score screening)

冠狀動脈鈣化定量是一種非侵入性的檢查,用途是檢測冠狀動脈內的鈣化情況。如果動脈內出現鈣化,就會得到一個鈣化指數,醫生可依此來判斷動脈鈣化的嚴重程度,從而評估病人出現冠心病的機率,及早規劃進一步的預防方案。研究顯示,冠狀動脈血管狹窄程度與鈣化程度成正比,鈣化指數越高,冠狀動脈狹窄機率越高。
3b. 冠狀動脈造影(Coronary CT angiography, CTA)

冠狀動脈造影的原理,是利用高速多層螺旋電腦掃描器(Multiple detector computed tomography, MDCT)來掃描出多張心臟及心血管的橫切面圖片,然後拼砌出一個3D心臟影像,醫生就能準確診斷出早期冠狀動脈梗塞及心血管中極微量的鈣化現象,來評估患者出現冠心病的風險。
此項檢查進行前,醫生會透過導管將顯影劑注射到冠狀動脈的開口處,以便觀察冠狀動脈的狹窄程度,因此要由醫生臨床評估後,認為適合後才會進行。
心臟電腦掃描適合以下人士進行:
- 有心臟病家族病史
- 不明的心絞痛情況
- 工作繁忙及生活壓力大
- 懷疑心臟有問題,但又不宜跑步的病人
- 偏肥胖人士
- 曾接受冠狀動脈手術
- 高血壓、高血脂/膽固醇、糖尿病之病患者
進行檢查時要注意的事項
- 檢查前須禁食4小時。
- 身上應保持乾爽,因為潮濕(汗濕或尿濕)易導致干擾。
- 不建議在檢查前做運動,因檢查必須在安靜狀態時進行。
- 應避開會干擾檢查的金屬性物品如:手錶、皮帶扣、拉鍊、裙鉤、鈕釦
- 如正服用含有Metformin(包括Glucophage及Glucovance)之糖尿病藥,須於檢查當天及後兩天暫停服用。
- 如已知腎功能異常,請於檢查前兩天後兩天暫停服用。
- 如有過敏或哮喘病歷,請預先通知醫護人員。
- 醫生可能為你處方藥物減慢心跳,以助提高影像質素及減低輻射劑量。
4. 斜床測試
斜床測試主要為患有多次不明原因暈厥或休克之病人,分析及診斷其是否患有交感神經失調而引致休克現象。檢查過程中,病人會躺在一斜床上,於不同的傾斜角度下,其血壓及脈搏之反應會被連續監察及紀錄,從而作出分析。
其他心臟相關測試

其實同心臟檢查相關的項目還有不少,不過未必會在一般身體檢查計劃出現,本文就不特別詳細介紹啦!這些項目包括:
全天候心電圖監測:病人連續24小時或48小時,甚至更長時間隨身攜帶着心電圖儀器,記錄心跳異常的密度、持續時間等。
心導管檢查:透過經皮血管穿刺,將心導管引導到心臟各腔室及大血管進行攝影,過程中會注射顯影劑,並透過監視器檢視心臟血管病變的位置及血流情形、心臟各腔室壓力是否正常及冠狀動脈是否有阻塞,如有需要更可做介入性治療,如「通波仔」。
磁力共振:磁力共振可以查看心臟的血流量,以檢查血管有否阻塞及病人心肌有沒有缺血。
哪些人適合做心臟檢查?
由於近年心臟病有年輕化的趨勢,有時心臟病是沒有症狀的,一旦病發隨時就有猝死的風險。就算是年輕一族及沒有心臟問題的人士,亦建議做最簡單的靜臥心電圖或運動心電圖。
若本身有心臟病的風險因素,例如有三高(高血壓、高血糖、高膽固醇),或本身肥胖、有吸煙習慣,又少運動等等,即使沒有任何心臟病症狀,也屬於高危人士,建議到了一定年齡例如40歲以後,應做一次心臟檢查,特別是運動心電圖及心臟電腦掃描。
若本身有心臟病家族歷史,例如父或母在較年輕時已曾患心臟病,自己也應在25歲後盡早做一次心臟檢查。




















































































































